역류성 식도염 원인 및 초기 증상에 대해서 소개해 드리겠습니다.
지금까지 한국인에게는 잘 볼 수 없었던 역류성 식도염이 최근 증가 추세에 있습니다. 그 큰 요인은 식사의 내용이 서구화된 것, 고지방식 메뉴가 퍼진 것이라고 알려져 있습니다.
본래 위산에 닿지 않는 식도는 강한 산성을 나타내는 위산에 대해 장벽 기능을 가지고 있지 않습니다. 거기에 다양한 원인에 의해 위산의 역류가반복됨으로써 염증이나 궤양이 생기고 속쓰림 등의 증상을 일으킵니다.
또한 위산의 식도로의 역류, 속쓰림 등의 증상이 있지만 미란이나 궤양이 생기지 않는 것은 비미란성 위식도 역류증이라고 합니다.

역류성 식도염의 원인
역류성 식도염은 식사를 포함한 생활 습관, 자세 습관, 체형 등에 기인하여 발병할 수 있습니다. 역류성 식도염이 일어나는 원인은 위산이 너무 증가하거나 위산의 역류를 방지하는 기능이 제대로 작동하지 않는 데 있습니다.
다음과 같은 위험 요인이 겹치면 역류성 식도염이 발생하기 쉬워집니다.
역류성 식도염의 원인
- 스트레스
- 과식, 빨리 먹기
- 과도한 알코올 섭취
- 흡연
- 비만으로 인한 위의 압박
- 새우등, 노화에 따른 등쪽이 굽음
- 위 수술로 인한 담즙 역류
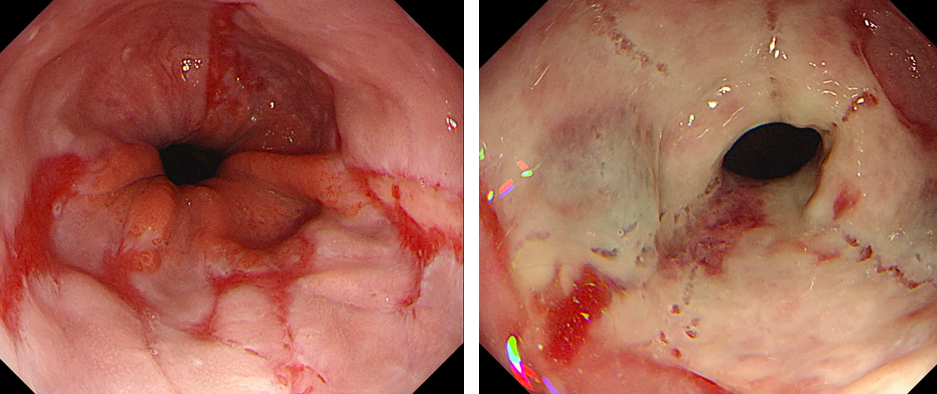
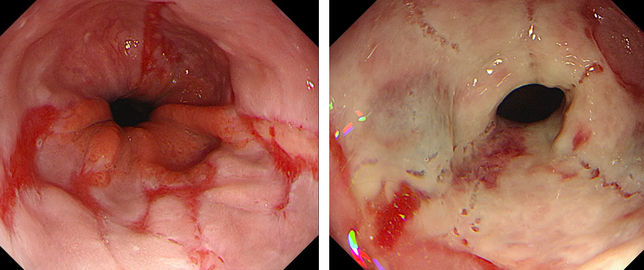
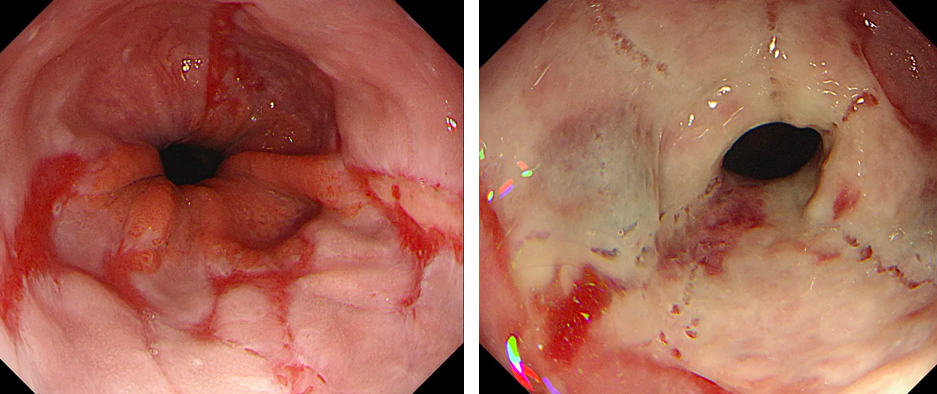
역류성 식도염 분류
세계적으로 빈용되고 있는 LA분류라는 역류성 식도염의 분류로 6단계(Grade 'N'→ 'M'→ 'A'→ 'B'→ 'C'→ 'D'로 진행)로 평가 됩니다.
Grade 'N' 정상 사진

Grade 'A', 'B' 경증상

Grade 'C', 'D' 중증상

역류성 식도염과 흡연·음주와의 관계
역류성 식도염과 흡연
담배에 함유되어 있는 니코틴은 위산의 분비량을 증가시키는 작용을 합니다. 위산 분비량이 과잉되면 식도로의 역류가 일어나기 쉬워 역류성 식도염의 위험을 높입니다.
동시에 흡연은 타액의 분비량을 저하시키기 때문에 역류해 온 위산에 의해 식도에 직접적으로 손상을 입게 됩니다.
역류성 식도염과 음주
알코올은 위의 내용물(위산, 먹은 것)의 역류를 막아주는 '하부식도괄약근'의 기능을 약화시켜 식도의 음식을 내보내는 ' 연동 운동'의 기능을 방해합니다.
위산이 역류하기 쉽고, 또한 식도에 머무르기 쉬워 역류성 식도염의 위험을 높입니다.
또한 탄산이 들어간 음료는 위의 내압을 높이고 위산의 역류를 일으킬 수 있습니다.
역류성 식도염에 대한 예방 및 식사에 대해
생활 습관의 개선
·앞으로 숙인 자세를 장시간 계속하지 않도록 합니다. 때때로 휴식을 취해 복부에 압박을 가하지 않게 하시는것도 좋습니다. 취침 시에는, 신체의 오른쪽을 아래로 하고, 상체를 높이면, 위산의 역류를 막을 수 있습니다.
식습관의 개선
·지방이 많은 음식을 자제하면, 위 내용물의 흐름을 원활하게 할 수 있습니다.
·알코올, 향신료, 커피, 신 것을 삼가거나, 금연하거나, 과식을 피함으로써, 위산 분비를 억제할 수 있습니다.
·취침전의 2시간 정도는 식사를 하지 않도록 합시다.'음식물을 마신다=위산이 분비된다'고 하므로 그 사이에 누워 버리면, 위산이 식도로 흐르기쉬워집니다.
·양배추, 양상추, 아스파라거스, 브로콜리, 셀러리, 토마토 등에 포함된 비타민 U는 점막을 복구하는 효과가 있습니다.부족한 분은 적당히 섭취하는 것이 좋습니다.
식후의 껌
식후에 껌을 씹는 것으로, 타액의 분비량이 증가하고 식도를 위산으로부터 보호해 줍니다.
이상, 역류성 식도염에 대한 소개였습니다.
오늘도 건강하시고 행복한 하루 되세요 ~~!!
'건강' 카테고리의 다른 글
| 호두 효능 및 다이어트 (0) | 2023.09.17 |
|---|---|
| 면역력 떨어지는 이유와 대책 (0) | 2023.09.16 |
| 고지혈증에 좋은 음식 (0) | 2023.09.16 |
| 당뇨에 좋은 과일 (0) | 2023.09.16 |
| 지방간의 증상 및 개선 방법 (0) | 2023.09.16 |